Loading...

Diario di Donna Logo Diario di Donna

Globuli Bianchi alti: Cosa significa?

Redazione Avatar

di Redazione

20/02/2023

TITOLO
Se dagli esiti delle tue analisi del sangue noti una segnalazione di alterazione, un valore al di fuori dei limiti normali di riferimento, devi assolutamente sottoporre all'attenzione del tuo medico di base le analisi stesse per una valutazione clinica. Ma se i Globuli bianchi, anche chiamati leucociti, sono alti cosa significa?

Cosa sono i Leucociti

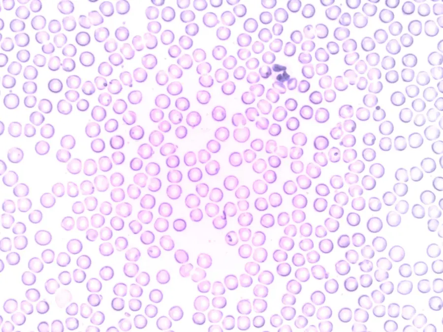
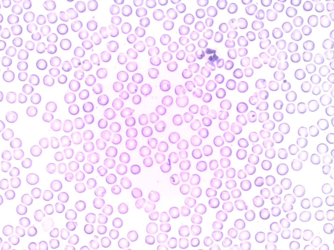
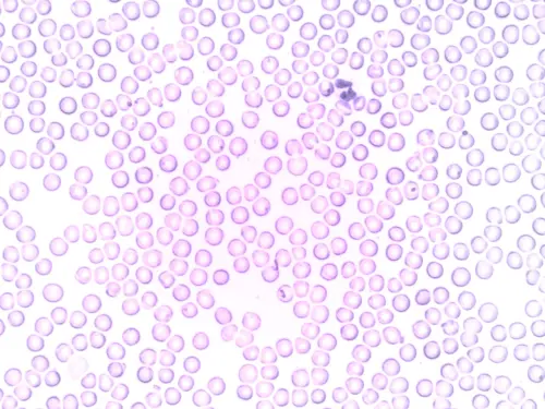
Più si studia il corpo umano e il suo funzionamento, tanto più si resta affascinati dai meccanismi talvolta incredibili che sono presenti nei vari distretti. Siamo  circondati in qualsiasi ambiente che ti trovi, da agenti capaci di creare dei problemi al funzionamento del corpo. Tutti siamo consapevoli che virus, batteri, miceti e corpi estranei tendono a farci ammalare. La malattia altro non è che l'esplicazione dell'azione nel nostro corpo degli agenti patogeni. Questi tendono a proliferare in modo incontrollato nell'organismo, non perché siano cattivi ma è ogni essere vivente è costretto dalla natura a riprodursi per il mantenimento e l'incremento della specie. Questo non significa, ovviamente, lasciare loro campo libero, occorre cercare di prevenire che ciò accada e quando succede, occorre altresì combatterli attraverso rimedi che la medicina ha scoperto, i farmaci come, ad esempio, gli antibiotici. L'organismo ha dei meccanismi propri per difendersi dall'azione dei vari germi, combattendoli e mettendoli in condizione di non nuocere. Questo è  il sistema immunitario nell'ambito del quale i Globuli bianchi, i Leucociti, sono un vero e propio pilastro. Trovare nelle analisi un rialzo oltre ai limiti normali dei leucociti, ha il senso che l'organismo sta combattendo contro un agente nocivo in generale. Sta al medico capire cosa sta succedendo, qual è l'agente che ha provocato la reazione del sistema immunitario.

Leucociti oltre ai limiti

Quando il medico ti prescrive, quasi sempre, tra le varie analisi del sangue, l'emocromo e la formula leucocitaria, vuole capire se esistono segni di infezione e dalla formula leucocitaria, in funzione del tipo di leucociti alterati, trae anche indicazioni su quale tipo di infezione può facilmente essere in atto. Noterai, infatti, nella formula leucocitaria, diversi nomi che non ti dicono nulla ma al medico sì. Ecco che troverai:
  • neutrofili
  • eosinofili
  • basofili
  • linfociti
  • monociti
I valori ritenuti normali dei globuli bianchi nel sangue sono quelli compresi tra 4 e 10 mila. Ovvio che eventuali valori alterati hanno un maggiore significato in base all'entità dello scostamento rispetto al normale. Ad esempio, un valore di 11 mila, non ha un significato clinico importante, basta una carie, una piccola infiammazione alle vie urinarie, banale e magari anche a risoluzione rapida e spontanea, a provocare una simile alterazione ma deve sempre essere il medico a fare le dovute valutazioni. Dunque, cosa fare se hai un innalzamento dei valori dei globuli bianchi? Prima di tutto interrogati su eventuali sintomi cui non avevi forse nemmeno fatto caso per orientare il medico verso la corretta diagnosi. Questo presuppone implicitamente il ricorso al medico. Tieni conto, anche se lo farà quest'ultimo, che anche alcuni farmaci sono in grado di alterare i livelli dei globuli bianchi, soprattutto, però, verso il basso. Siccome i globuli bianchi sono prodotti dal midollo osseo, una sostanza spugnosa contenuta dalle ossa, soprattutto quelle lunghe, occorre considerare un coinvolgimento di questo nell'alterazione dei valori. Se il valore dei leuciciti è troppo basso, significa che qualcosa sta bloccando i meccanismi di produzione indebolendo fortemente il sistema immunitario ed esponendoti maggiormente al rischio di infezioni che possono anche diventare piuttosto  gravi. Soprattutto l'assunzione di certi farmaci e trattamenti sono in grado di provocare riduzioni anche allarmanti dei leucociti. Tra questi segnaliamo soprattutto chemioterapia, radioterapia ma anche farmaci più comuni tra cui anche gli antiepilettici e gli antibiotici. Uno stile di vita più sano aiuta comunque a mantenere il giusto equilibrio nei valori dei leucociti che si riscontrano nelle analisi del  sangue. Ad esempio è bene agire sull'alimentazione attraverso cibi più sani e aumento del consumo di verdura e frutta. Abolire il fumo, ridurre drasticamente il consumo di alcool, aumentare l'attività fisica, eventuale perdita di peso sono altri elementi che migliorano lo stile di vita.
Redazione

Redazione